REBUILD YOUR CONFIDENCE WITH DENTAL IMPLANTS
Meet our Implant lead

Dental Implant Surgeon
GDC Number: 61883
View Dr Jayesh Patel's Profile
B.D.S M-MedSci (Implantology)
GDC No. 61883
Dr Jay Patel gained his Bachelor of Dentistry from Kings College of Medicine and Dentistry, London in 1986. He worked in general practice with an emphasis on cosmetic work, placing his first porcelain veneers and undertaking whitening procedures over twenty years ago.
During the nineties, Jay turned his attention to a new field in dentistry – dental implants. Having undertaken his training at the prestigious Eastman Academy in London, he later gained his Masters Degree in Dental Implantology at the Charles Clifford Dental Institute.
Jay is a member of the association of Dental Implantology, British Academy of Cosmetic Dentistry and the ITI (International Team for Implantology) and continues to further his professional development, which has previously seen him travel to North America and Europe, ensuring his knowledge is passed on to patients and colleagues alike, assuring them that they are in good hands.
In 2011, Jay became one of the few dentists in the country to turn his hand to Cerec technology. Keen to provide his loyal patients with the latest treatments, using 3D computerised technology, Cerec allows patients to transform their smile within one day, making high quality crowns in house.
Implants make a huge impact on lives, restoring smiles and confidence. We have the technology, expertise and experience to place precise implants. Our cutting-edge equipment streamlines the treatment, drastically improving patient experience and does not compromise on quality.
WHAT TYPES OF IMPLANTS CAN WE PLACE?
At our specialist locations, we use the Sweden & Martina implant system with our CEREC milling unit, we can replace missing teeth efficiently and successfully. Our systems allow us to restore single missing teeth, multiple, a full arch and retain dentures.
Transform your smile with these steps
Initial Assessment
We will provide you with an assessment, including x-rays as required. We use an iTero scanner and give you a treatment plan.
Implant Placement
Your dental implant will be placed. We use titanium as this is well-tolerated in the body.
Exposure of Implant and Restoration
Once your implants have fused with the bone, we are able to place your crown, bridge or denture and you can look forward to showing your brand-new smile.
Why choose Hitchin Dental Specialists?
Dr Jayesh Patel has taken advanced implant training world-wide and has placed thousands of implants
We have invested in state-of-the-art equipment to ensure your comfort throughout implant treatment
We offer 0% finance options so you can spread the costs of your dental implants
We create personalised treatment plans to suit your needs and fit in with your lifestyle
We use high quality implants from Sweden & Martina who are international leaders in the field of implantology.
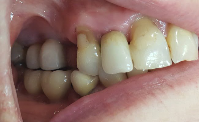
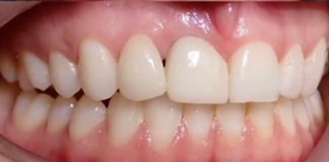
CASE 1 – Before And After


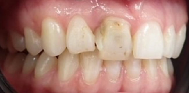
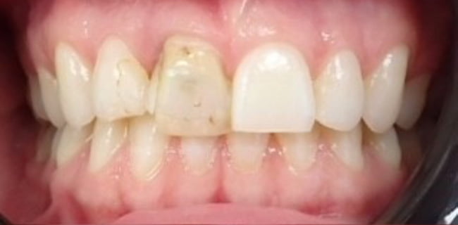
CASE 2 – Before And After
Great result from Dr. Jayesh Patel, we placed an implant to replace the UR1 failing root treated tooth then to improve aesthetics we did a course of Boutique at home whitening and then replaced the adjacent UR2 with a veneer. Case completed in under 5 months.



